Premium One无细胞蛋白表达试剂盒(CFS-EDX-ONE)
少量蛋白表达试剂盒,快速鉴定载体表达是否成功
未备注医疗备案号的产品均未获得医疗器械注册证,不可用于临床诊断或治疗,仅可用于工业或者科研领域非医疗目的用途。
| 目录号 | 规格 | 目录价 |
| CFS-EDX-ONE | 55 µl×24 rxn | 5000 |
本试剂盒能够通过线性模板或质粒模板实现小规模蛋白表达。本试剂盒采用转录和翻译偶联的方法,试剂盒中提供麦胚无细胞蛋白表达系统预混
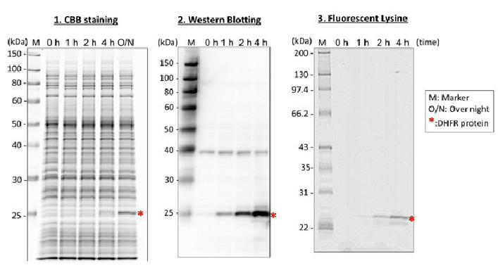
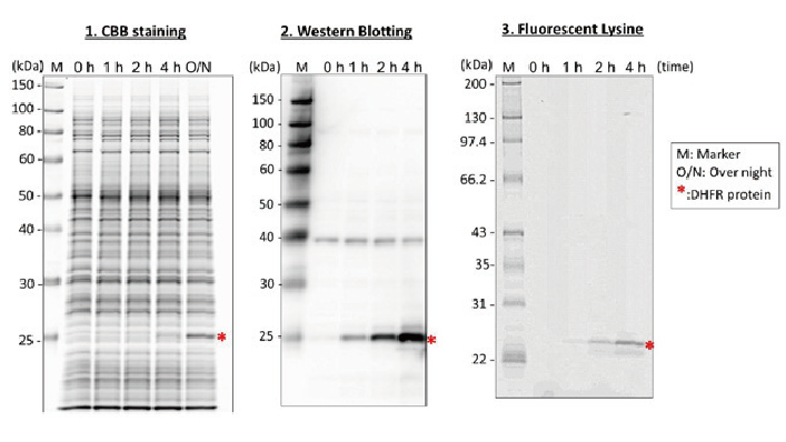
mix,mix 中包含蛋白转录、翻译的所有必需酶类、tRNA 和离子环境,只需加入 DNA 模板即可一步完成蛋白的转录和翻译,直接获取目的蛋白。此外,试剂盒中还包括线性模板构建所需 PCR 引物,以及 pEU-E01-DHFR 质粒作为阳性对照,另提供带有荧光标记的赖氨酸 -tRNA,用以标记合成蛋白,便于观测。本试剂盒利用双层液相反应法(Bilayer)表达目的蛋白,只需 1-4 小时即可观察到目的蛋白,每个反应蛋白表达量为 1-3 µg,除了可以应用于 Western 蛋白检测实验之外,还可作为模板测试试剂,快速检测目的质粒或片段能否成功表达目的蛋白。能够在本试剂盒表达成功的模板质粒或片段,可直接应用于 CFS 系列其他试剂盒中,做大量蛋白表达使用。
■ 选择方便:可用质粒模板,也可直接使用
PCR 片段进行蛋白表达
■ 操作简单:采用 Bilayer 反应方法,不需要特殊仪器,只需加入模板即可进行反应
■ 表达快速:1-4 小时即可观察到目的蛋白表达
■ 检测容易:可选择使用荧光标记的
Lys-tRNA,用过荧光直接检测蛋白表达效果
使用 PCR 片段模板需自备特异性引物(详见说明书)
可用于考马斯亮蓝染色、Western Blot 检测等下游蛋白检测。还可作为模板测试试剂,检测模板是否正常表达,从而将此模板成功用于其他试剂盒中。
-
Sort by
-
Date
Date(
)
Date
Date(
)
Impact Factor
IF(
)
Impact Factor
IF(
)

